ربات آهنربایی به جنگ لخته های خون می رود

ربات آهنربایی به جنگ لخته های خون می رود

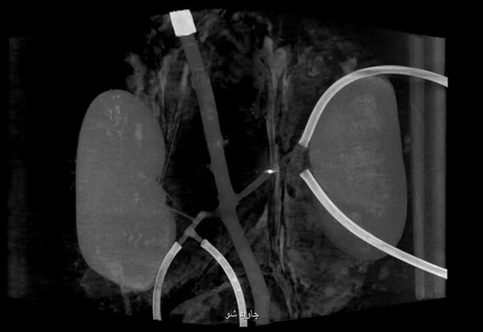
جاوید شو: به گزارش جاوید شو، محققان میلی رباتی بسیار کوچک و شبیه چوب پنبه باز کن و مجهز به یک آهنربا ابداع نموده اند که میتوان با کمک یک آهنربای خارجی آنرا حرکت داد تا لخته های خون در رگ ها را از بین ببرد.


به گزارش جاوید شو به نقل از نیواطلس، هرچند برخی لخته های خونی در بدن انسان را میتوان با قراردادن ابزارهای انعطاف پذیر در رگ یا شاهرگ مورد نظر از بین برد اما دسترسی به برخی دیگر کاری مشکل است بزودی میتوان با استفاده از میلی ربات هایی که از راه دور کنترل می شوند و در رگ های بیمار حرکت می کنند لخته های خونی را درمان کرد. هم اکنون محققان دانشگاه تونته(Twente) و مرکز پزشکی دانشگاه رادبود در هلند نمونه آزمایشی این دستگاههای کوچک را ابداع نموده اند. هر ربات بدنه ای شبیه چوب پنبه کش ( یا دربازکن) دارد که با چاپگر سه بعدی ایجاد می شود و به اندازه یک دانه برنج است. در هر ربات یک آهنربای یک در یک میلیمتری قرار دارد. ایده اصلی اینست که با استفاده از کانولا یک یا چند میلی ربات در رگی که لخته خونی در آن وجود دارد، قرار گیرد. در مرحله بعد ربات از راه دور به حرکت در آید تا به لخته برسد و با سوراخ کردن، لخته را از بین ببرد. یک آهنربای درحال چرخش خارجی برای حرکت دادن ربات ها به کار گرفته می شود. همزمان با چرخیدن آهنربا، بدنه مغناطیسی شده میلی ربات در طول محور خود می چرخد و در نتیجه می تواند در خون موجود در رگ (حتی در خلاف جهت جریان خون) به سمت لخته حرکت می کند. هنگامیکه لخته از هم پاشیده می شود، جهت چرخش آهنربای خارجی معکوس می شود. این امر سبب می شود جهت حرکت میلی ربات هم معکوس شود و در نتیجه به صورت عقبگرد در رگ و به سمت منطقه ورود کانولا حرکت نماید. بدین سان میتوان آنرا از رگ خارج کرد. در آزمایش ها یک آهنربای چرخان روی بازوی رباتیک به کار گرفته شد تا چند میلی ربات را به سمت بالا و پایین در رگ های خونی متصل به شاهرگ و کلیه های یک خوک حرکت دهد. هرچند حداکثر جریان خون 120 میلی گرم به ازای هر دقیقه بود اما محققان معتقدند در صورتی که جریان خون بیشتر باشد، ربات ها با استفاده از آهنرباهای خارجی قدرتمندتر کارآمد خواهند بود. البته کاربردهای احتمالی این ابزار فقط به از بین بردن لخته در جریان خون منتهی نمی گردد. ربات ها می توانند داروها را به مناطق خاصی از بدن ببرند بدین سان عوارض جانبی دارو بر دیگر بخش های بدن اندک خواهد بود.


منبع:

1402/10/03
08:08:14
5.0 / 5
527
تگهای خبر: دستگاه , هنر
این پست جاوید شو را پسندیدید؟
(1)
(0)

تازه ترین مطالب مرتبط
نظرات بینندگان در مورد این مطلب
لطفا شما هم نظر دهید
= ۱ بعلاوه ۳
جاوید شو جاوید شو